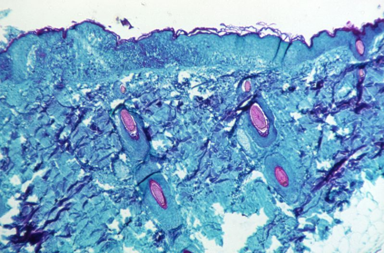
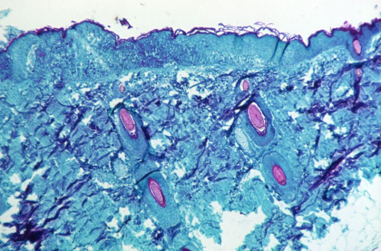
L'OMS S'ATTEND À CE QUE DE NOUVEAUX CAS DE VARIOLE DU SINGE SOIENT IDENTIFIÉS DANS LE MONDE ENTIER
LONDRES (Reuters) - L'Organisation mondiale de la santé (OMS) s'attend à ce que de nouveaux cas de variole du singe soient identifiés dans le monde, alors que l'agence surveille l'émergence de la maladie dans des pays où elle ne se propage généralement pas.
Samedi, 92 cas de variole du singe avaient été confirmés et 28 autres étaient considérés comme suspects dans douze pays où le virus n'est pas endémique, a annoncé l'OMS.
L'agence onusienne a précisé qu'elle fournirait des informations et des recommandations supplémentaires concernant les moyens de limiter la propagation de cette maladie aux pays concernés.
"Selon les informations dont nous disposons, les transmissions d'homme à homme se produisent parmi les personnes ayant des contacts physiques étroits avec des personnes infectées et présentant des symptômes", a indiqué l'OMS.
La variole du singe, rare en Europe, s'observait jusqu'ici principalement dans le centre et l'ouest de l'Afrique. Elle se propage lorsque les gens entrent en contact étroit avec des personnes infectées et peut être facilement endiguée en mettant en place des mesures d'isolement et d'hygiène.
"Le virus semble actuellement se transmettre comme une infection sexuellement transmissible, ce qui a décuplé sa transmission autour du monde", a déclaré à Reuters David Heymann, un épidémiologiste américain spécialiste des maladies infectieuses et expert en santé publique travaillant pour l'OMS.
David Heymann a précisé que les personnes qui pensent avoir été exposées au virus ou qui présentent des symptômes, comme de la fièvre ou une éruption cutanée, ne devraient pas entretenir de contacts étroits avec les autres.
(Reportage Jennifer Rigby et Akanksha Khushi; version française Camille Raynaud)

0 commentaire
Vous devez être membre pour ajouter un commentaire.
Vous êtes déjà membre ? Connectez-vous
Pas encore membre ? Devenez membre gratuitement
Signaler le commentaire
Fermer